top of page
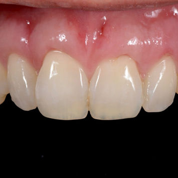
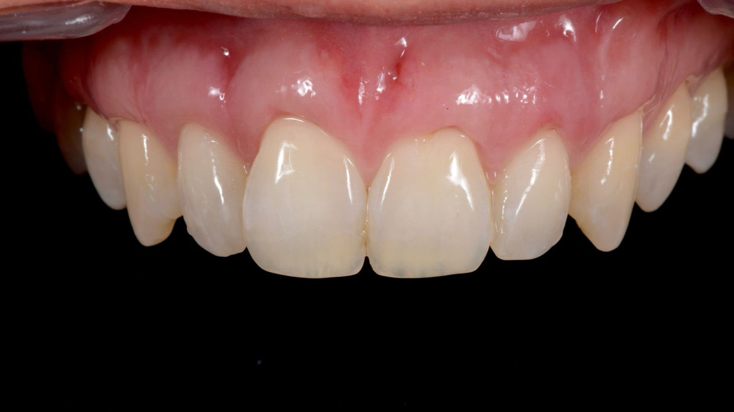
Avant / Après – Traitement des récessions gingivales et recouvrement radiculaire au maxillaire à Embrun
(Hautes-Alpes – 05)
Patiente de 42 ans, habitante de Gap, est venue consulter le Cabinet Dentaire ASV à Embrun pour des récessions gingivales importantes au maxillaire. En plus d'affecter l'esthétique du sourire l'exposition des racines entraine une hypersensibilité dentaire.
Au Cabinet Dentaire ASV à Embrun, nos chirurgiens-dentistes ont réalisé un plan de traitement parodontal complet :
- Recouvrement radiculaire pour protéger les racines exposées
- Renforcement du parodonte par greffe gingivale pour stabiliser les gencives
Résultat : Une esthétique dentaire et un confort retrouvés
Soins parodontaux et chirurgicaux réalisés dans les Hautes-Alpes (05), accessibles aux patients de Tallard, Veynes, Chorges, Briançon et tout le département 05. Vous souffrez de récessions gingivales, déchaussement ou hypersensibilité des dents ? Contactez le Cabinet Dentaire ASV à Embrun pour un bilan parodontal personnalisé.
Patiente de 42 ans, habitante de Gap, est venue consulter le Cabinet Dentaire ASV à Embrun pour des récessions gingivales importantes au maxillaire. En plus d'affecter l'esthétique du sourire l'exposition des racines entraine une hypersensibilité dentaire.
Au Cabinet Dentaire ASV à Embrun, nos chirurgiens-dentistes ont réalisé un plan de traitement parodontal complet :
- Recouvrement radiculaire pour protéger les racines exposées
- Renforcement du parodonte par greffe gingivale pour stabiliser les gencives
Résultat : Une esthétique dentaire et un confort retrouvés
Soins parodontaux et chirurgicaux réalisés dans les Hautes-Alpes (05), accessibles aux patients de Tallard, Veynes, Chorges, Briançon et tout le département 05. Vous souffrez de récessions gingivales, déchaussement ou hypersensibilité des dents ? Contactez le Cabinet Dentaire ASV à Embrun pour un bilan parodontal personnalisé.

bottom of page



